Welcome to ToolBox4Docs.com
Helping Build The Practice You Deserve
Proven tools to maximize the 4 pillars of a great practice, case acceptance, retention, referrals, and reimbursement. Practice success is NOT about being the best adjuster, or the best
marketer, or being a great sales person. It IS about delivering the right message so patients understand their unique problem and why you offer the best solution.
Our software, products, and online courses, make up the “ToolBox4Docs” to help you build and sustain your practice where it matters most, the bottom line, by effectively reaching every patient, one at at time.
ARE YOU READY TO…
- Systematically, and predictably build and grow your practice with solid ethical marketing and consistent referrals.
- Stop leaving hundreds or thousands of dollars on the table with every case because you do not know how to document and bill third party carriers.
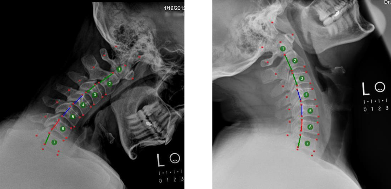
- Quickly expand your impact in personal injury cases by proving ligament instability AOMSI.
- Easily get new patient referrals. Promote your business. Grow your practice and take home more money.
- No longer have patients quit, say they can’t afford it, just don’t get it, or walk out on your treatment recomendations.
- If you are ready for more, let’s work together and power up your life and practice, now. Let’s Get Started ….
Which Area do You Want to Focus on?

Chiro Solutions For Online Learning
Chiro Solutions For Online Learning
Practice Growth, CA Training, CEU’s, & Marketing

Primo Practice & SpineTech Pro
Primo Practice and SpineTech Pro
Report of Findings, X-ray Analysis, Posture, ROM, and EHR Documentation Software

DRMA Tech
DRMA Tech
AOMSI, Ligament Analysis Software and service
Get Our $29 Billing Cheat Sheet FREE When you Register
For FREE Access to THE MEMBERS AREA
Which of the following best describes you now?